Bare Feet – One of the most controversial body parts. The mere thought of bare feet can cover the entire gamut of human emotions. Everything from absolute obsession to complete repulsion. The internet has more sites dedicated to displaying photos and videos of feet than any other body part. Pop Culture magazines often run articles on celebrity and royalty feet.
Over millennia the act of going without shoes has adopted meanings in some cultures. This can be anything from a sign of submission, to a sign of peace, to a sign of defiance. Almost no other body part is both adorned and scorned at the same time.
The reality is, Humans have been around the planet for over a million years and have only been wearing shoes for less than 5,000 years. For most of humans time on earth, we have gone barefoot. Humans are also the only animal on the planet who feel the need to wear shoes.
In the 1800’s it was so common for men to go barefoot in the United States that Samuel Clemens (Mark Twain) wrote “a boy who didn’t go barefooted, or wore shoes when it was not absolutely necessary, was viewed as a “Miss Nelly”. The unfortunate lad being an object of complete derision among my companions.”
It was only in the early 20th century that people decided going barefoot posed some form of health risk. Health risks that no other animal species on the planet seemed to succumb to. Until the early 20th century, there was almost no place that bare feet were not welcome. This included workplaces. A quick internet search will show photographs of people working in all manner of environments with bare feet. Including cotton ginnies and mines. In some countries, bare feet are still common in industrial workplaces without incident.

Unfortunately, as humans have started to wear shoes on a consistent basis it has taken a significant evolutionary toll on our physical bodies. Scientists have proven that non-shoe wearing people have significantly stronger immune systems, stronger bone structures, as well as better psychological dispositions than the chronically shod.
The beginning of the 21st century saw a resurgence of the barefoot movement. This time it was re-branded as “earthing”. Earthing is described as the act of going barefoot as a way to prevent health bone and joining problems, as well as absorb the natural healing energies of the earth.
It is known that the Earth has a negative electrical potential on the surface. When we are in direct contact with the ground by going barefoot, the earth’s electrons are conducted through your body, bringing it to the same electrical potential as the earth. Living in direct contact with the earth grounds your body, and will induce favorable physiological and electrophysiological changes that promote optimum health.
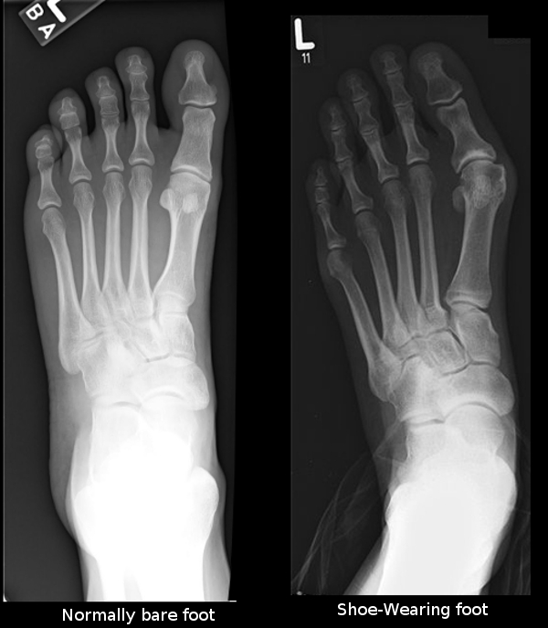
The evidence is clear and proven by the scientific community. Wearing shoes on a regular basis poses significant health risks to your body and immune system. Children who grow up barefoot generally have stronger feet, better flexibility and mobility. Barefoot children develop fewer deformities like flat feet or deformed toes. Studies have also shown that children that grow up barefoot have less health complications in later life stages.
That is not to say that everyone should be barefoot at all times. There are very good reasons to wear protection on one’s feet. This includes areas where the ground is contaminated (brown land), hazardous areas such as landfills, and industrial applications where high temperature materials such as water and chemicals could pose a significant health risk to individuals. Like a pair of gloves, or a protective helmet, there are many environments where items are needed to protect the body in order to get a job done. However you will not find many people wearing helmets on a full-time basis, such as going grocery shopping or walking their dog.

Some people, particularly those in who live in extremely sanitised environments have the false belief that going barefoot opens one up to diseases such as Hookworm. The Hookworm parasite is rarely found in North America. It is mostly found in warm, moist, climates and in human feces. The Hookworm is thought to burrow through a bare human foot and into the skin. The reality is the hookworm will burrow through any exposed skin anywhere on the body.
People who constantly clean themselves, wash hands, never go barefoot, and shower at least once a day have been found to have less effective immune systems. This opens these individuals up to greater disease than if they were “dirty”. Scientists have found this is because if the body does not have to constantly fight off dirt and disease, it will lower its immune system accordingly. This causes a suppressed immune system which invites more serious illnesses and disease to take hold in the body.
Many people believe there are various regulations, laws, and by-laws prohibiting bare feet. With the exception of heavy industrial environments such as steel mills, there are none. There are almost no laws in any country prohibiting someone from going barefoot. This information has been well researched.
Unfortunately many people who have attempted to enter establishments without shoes have encountered violent opposition. In many countries, however a business may refuse a customer for any reason whatsoever. This includes initiating a dress code before offering service to a customer. The problem with travelling and shopping barefoot is with individual bias, not law.
Many European nations such as Austria, Denmark, France, Germany, Hungary, Switzerland and even the United Kingdom have created Barefoot Parks. These parks are specific areas which are well maintained and encourage people to wander about the facility barefoot. Some parks include areas with varying textures, streams to cross, and even areas where people can climb barefoot.
The German Barfußpfad (or barefoot trail) located on Sobernheim has well over 100,000 visitors per year. South Korea has almost 200 barefoot parks which encourage people to go barefoot in nature.
The evidence is overwhelming. Going barefoot allows individuals to be connected to their environment, healthier, and stronger. Bare feet allow the unseen energy of the earth to flow through the body in a way that is not fully understood by scientists. Being barefoot builds resilience in the individual and contributes to overall well being.
Kick off your shoes, get dirty, and get healthy!
Footnotes:
Jets’ Coach Rex Ryan’s Foot Fetish Isn’t Unhealthy, Sex Experts Say. (2010, December 23). Retrieved March 08, 2013, from ABC News: http://abcnews.go.com/Health/rex-ryans-foot-video-not-necessarily-unhealthy/story?id=12467617
ANGIERr, N. (1991). Which Shoes Are Best For Children? Maybe None. New York Times.
DEMELLO, M. (2009). Feet and Footwear: A Cultural Encyclopedia. Westport: Greenwood Publishing Group.
DEVOCHT, F. (2010, March 24). “Dirty Electricity”: What, where, and should we care? Journal of Exposure Science and Environmental Epidemiology, pp. 399-405.
H.M., M. (2009). Evoloution: The First Four Billion Years. Cambridge: The Belknap Press of Harvard University.
KOERTH-BAKER, M. (2008). First Shoes Worn 40,000 Years Ago. Live Science.
SUPPLE, E. (2012, August 18). Keep your feet fit for a princess, Kate: A podiatrist’s warning to the Duchess of Cambridge that her Royal lifestyle is taking its toll on her toes. Retrieved 03 08, 2013, from UK Daily Mail: http://www.dailymail.co.uk/health/article-2190187/Kate-Middletons-feet-Experts-advice-Duchess-Cambridge-toes.html
TIMMONS Heather, H. A. (2007, November 26). New York Manhole Covers, Forged Barefoot in India. The New York Times.
ZIPFEL, B. B. (1917). Shod Verses Unshod: The emergence of forefoot pathology in modern humans?
Barefoot Bushcraft acknowledges the land on which we gather was the historic territory of the Haudenosaunee and Anishinaabe peoples, many of whom continue to live and work here today. This territory is covered by the Upper Canada Treaties and is within the land protected by the Dish With One Spoon Wampum agreement. Today this gathering place is home to many First Nations, Métis, and Inuit peoples and acknowledging reminds us that our great standard of living is directly related to the resources and friendship of Indigenous peoples.
Error: Contact form not found.
Error: Contact form not found.
Error: Contact form not found.
Error: Contact form not found.
Error: Contact form not found.
Error: Contact form not found.
Error: Contact form not found.
Error: Contact form not found.